Gastroscopy
Examination of the oesophagus, stomach and upper small intestine
What this test involves
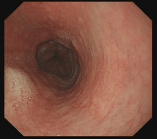
Gastroscopy involves passing a very thin flexible tube (see image alongside) through the mouth, down the oesophagus (gullet), into the stomach and then into the small intestine. Some images of what these areas look like are shown at the bottom of this page (hover over the images for a description).
The procedure is not painful but understandably anxiety-provoking and we use a throat spray to numb the back of the throat to reduce the 'gag' reflex. The test is usually also carried out under sedation (not a general anaesthetic) to make it more comfortable.
A mouthguard is used to protect your teeth (and the instrument) and placed before giving sedation.
Air is pumped into the stomach to distend it so that we can examine the lining carefully - this can sometimes give a bloating sensation during the procedure but we suck it out at the end.
If there are any abnormalities seen, we can introduce instruments down a channel in the gastroscope to take a small sample of the tissue - a 'biopsy'. There are no pain receptors in the lining of the gastrointestinal tract and this is therefore painless. Biopsies are sent off to the laboratory for analysis and usually take 1-2 weeks before we receive a report.
The instrument channel can also be used for treatment purposes - for instance, introducing inflatable balloons to stretch narrowed areas, clips to stop bleeding or close holes, or wire lassoes to cauterise and remove polyps or retrieve foreign objects that have been swallowed.
Risks and safety
Gastroscopy is a very safe procedure and we take every precaution to ensure your well-being and comfort.
Adverse events have been described to occur in less than 1 in every 100 cases and are usually mild. More serious consequences usually only occur in individuals with underlying diseases present or where complex interventional procedures are required.
- It is not uncommon to experience a mild sore throat for a day or so afterwards.
- We take every precaution to protect your teeth and dental work during the procedure, but if you have loose or wobbly teeth then there is a risk of them being prematurely lost.
- Intravenous sedation carries a risk of impaired breathing and inhalation of stomach contents (hence we recommend that you are starved prior to the procedure). The sedatives used are short acting and have safe reversal agents. We monitor your oxygen levels and provide additional oxygen throughout the procedure in order to reduce any associated risks of sedation.
- Serious complications include perforation and bleeding:
- Perforation - where the instrument accidentally passes through the wall of the organ - can occur in the throat, the oesophagus, stomach or duodenum. It is reported in 1:3000 to 1:10,000 cases. It can often be managed by clipping or closing the hole at the time, but may require a stay for observation in hospital and in rare circumstances may require surgery.
- Significant bleeding is very rare and can usually be managed by treating through the endoscope but may require an X-ray procedure or surgery in very rare circumstances.
Instructions and preparation for the test
You will be asked to attend the endoscopy department having not had anything to eat or drink for at least 6 hours prior to the time of the procedure. This ensures that your stomach is empty. It is quite alright to take essential medications with a small amount of water if necessary.
We will discuss the procedure in detail with you on the day and answer any questions you may have, prior to asking for your consent to proceed.
Please make sure that you inform us prior to the procedure about:
- Medications - especially any medications that thin the blood ('anticoagulants') , or for diabetes
- Any severe cardiac or respiratory condition including a pacemaker device.
- Any allergies that you may have to medications (our procedures are latex-free).
- Any loose teeth, dentures, plates or crowns that might be at risk during the procedure.
After the procedure
You will be taken to a recovery area (if you have had sedation) for us to monitor your blood pressure and oxygen levels whilst the sedation wears off. This can take a few minutes to half an hour or so.
If you have had throat spray for the gastroscopy, you will need to wait for an hour before eating or drinking - this is to prevent it from 'going down the wrong way' due to lack of sensation.
Otherwise you will be given a drink and snack (or meal depending on the unit where you have this procedure undertaken!) before leaving for home. If you have had sedation, you will need someone to take you home and remain with you as a precaution. We would recommend that you do not drive, use heavy machinery or sign important documents for 24 hours after the procedure.
I will inform you of the findings of the test and if any biopsies have been taken that mean we have to wait for additional results from the laboratory. You will be provided with a copy of your report (usually with photographs for your records).
If you experience any significant symptoms within the following 48 hours after the test - including pain, fever, vomiting blood or passing black bowel motions then please contact the unit immediately for further advice - they will put you in touch with me.




